

Zbarvení, stav chrupu a jejich celkový vzhled je rezonující téma všude kolem nás. Krásné bílé zuby v online prostoru, reklamy na nejrůznější metody a přípravky na bělení zubů, to vše dokáže jednomu pořádně zamotat hlavu. Jak to tedy vlastně je s tou barvou zubů? Co ji ovlivňuje, jak předcházet žloutnutí a jaké zvolit bělení?
Základní barvu zubu určují dvě hlavní složky – zubní sklovina a dentin (zubovina).
Kombinace těchto vrstev pak vytváří odstín, který může být u každého jiný. Dokonce platí, že jednotlivé zuby v jedné čelisti mohou mít trochu odlišnou barvu.
Genetika hraje klíčovou roli – pokud mají rodiče přirozeně tmavší zuby, pravděpodobně je zdědíte. Změna barvy zubů v průběhu života je ale běžná a souvisí nejen s věkem, ale i s životním stylem.

Kromě přirozených procesů existují další faktory, které negativně ovlivňují zabarvení chrupu. Výrazný vliv na barvu zubů má:
Není tajemstvím, že se například kouření či nadměrná konzumace kávy a černého čaje negativně promítá do odstínu zubů. Na vině mohou být i prodělaná onemocnění nebo třeba léky.
Věděli jste, že užívání tetracyklinových antibiotik v dětství může mít za následek vznik takzvaných tetracyklinových zubů? To je pojmenování, které se používá pro zuby, které jsou vážně barevně zasažené právě v důsledku tohoto druhu léčiva.
Žluté zuby u dětí mohou mít různé příčiny – od naprosto přirozených vývojových změn až po situace, které vyžadují zásah zubního lékaře. V DENTALABS věříme, že když rodiče znají příčiny, mohou mnohem lépe předejít problémům a postarat se o zdravý úsměv svých dětí.
Někdy je žlutá barva zubů u dětí naprosto přirozená. Když dětem rostou stálé zuby, mohou se zdát žlutější než původní mléčné. Důvodem je to, že mají silnější vrstvu dentinu, který je přirozeně žlutší, a zároveň tenčí sklovinu než mléčné zuby. Tento rozdíl bývá pro rodiče překvapením, ale z pohledu stomatologie jde o zcela normální jev (Croll & Donly, 2014).
Další častou příčinou je nedostatečná ústní hygiena. Pokud si dítě nečistí zuby pravidelně a důkladně, hromadí se na nich plak a zubní kámen, což vede k nevzhlednému žlutému zabarvení.
Žluté zuby však mohou vzniknout i vlivem léků. Pokud dítě během vývoje zubů užívalo tetracyklinová antibiotika nebo jejich odvozeniny (např. tigecyklin), může dojít k vnitřnímu zabarvení, které se projevuje trvalými žlutými pruhy (Zhu et al., 2021; Harcourt et al., 1962).
Velkou roli hrají také vývojové poruchy, například tzv. hypomineralizace řezáků a stoliček (MIH). Ta se často projevuje žlutými až hnědými skvrnami na zubech. Takto postižené zuby bývají navíc slabší a častěji se lámou (Da Costa-Silva et al., 2011; Olgen et al., 2021).
Naše stravovací návyky mohou mít zásadní vliv na barvu zubů, obzvlášť pokud příliš často konzumujeme potraviny, které tuto nežádoucí vlastnost mají. Nepropadejte však panice. Občasná konzumace není nijak zvlášť škodlivá.
Jedná se především o tyto potraviny:
Základem je pravidelná a správná péče o zuby a obecně zdravé návyky.
Tím nejzákladnějším krokem, jak udržet zuby bílé, je pravidelné a správné čištění zubů a mezizubních prostorů. Mějte na paměti že pouze zubní kartáček a zubní pasta opravdu nestačí, proto do své každodenní rutiny zařaďte i mezizubní kartáček a zubní nit. Pro příjemný pocit v ústech pak samozřejmě můžete přidat i ústní vodu.

Dalším zásadním krokem jsou pravidelné návštěvy zubní ordinace. Nepodceňujte preventivní prohlídky, jsou nezbytné k udržení zdravých zubů. Také mohou odhalit problém hned v počátku a vyřešit jej podstatně jednodušším zákrokem, než by bylo potřeba v budoucnu.
Můžete také omezit množství konzumace potravin, které jsme si výše specifikovali. Rovněž doporučujeme popíjet čistou vodu, která spláchne zbytky jídel a sníží koncentraci škodlivých látek v ústech. Zároveň tím zvýšíte množství přijatých tekutin v průběhu dne, což vaše tělo rozhodně ocení.
Pokud jsou zuby zdravé, ale vadí vám jejich zažloutlý odstín, nejrychlejším a nejúčinnějším řešením je profesionální bělení.
Na rozdíl od volně dostupných bělících past a sad z drogerie je bělení prováděné odborníkem bezpečné, šetrné a s okamžitým výsledkem.
V DENTALABS pracujeme s moderními metodami bělení, které účinně odstraní pigmenty usazené ve sklovině, aniž by poškodily zuby.
Více o tom, jak probíhá bělení, najdete v našem článku: Bělení zubů snadno a rychle: Jak probíhá?
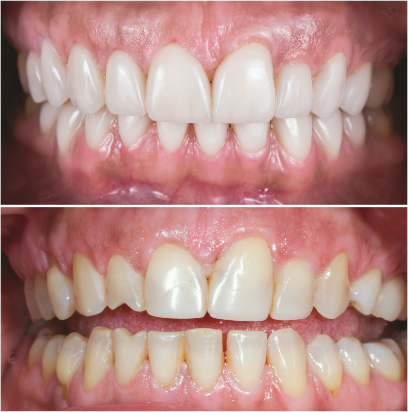
Zubní fazety dokážou vyřešit nejen tvar zubu, ale i nespokojenost s barvou zubů. Často k nám přicházejí klienti, kteří vyzkoušeli různé bělící metody, ale výsledek nebyl dlouhodobý ani uspokojivý. Právě fazety jsou v těchto případech řešením, které přináší okamžitý a trvalý efekt.
V DENTALABS pracujeme výhradně s keramickými fazetami. Jsou odolné, barevně stabilní a díky své průsvitnosti působí na zubech zcela přirozeně. Proto představují ideální řešení, pokud toužíte po úsměvu, který bude nejen bílý, ale i harmonický a esteticky dokonalý.

Toužíte po bělejším úsměvu, který bude působit přirozeně? Objednejte se na konzultaci do DENTALABS. Společně najdeme řešení, které bude vyhovovat právě vám – ať už půjde o bělení, nebo o keramické fazety.
Začněte profesionální dentální hygienou a poraďte se s odborníkem, zda je pro vás vhodnější bělení nebo fazety.
Bezpečné domácí bělení existuje jen pod dohledem zubaře. Babské rady s citronem, sodou nebo solí nedoporučujeme – mohou poškodit sklovinu.
Nejúčinnější je profesionální bělení u zubaře nebo keramické fazety, pokud bělení nestačí.
Povlak odstraní dentální hygienistka pomocí ultrazvuku a pískování. Doma ho nikdy neodstraníte úplně.
Kromě důkladného čištění zkuste domácí bělení s individuálními nosiči, které vám připraví zubař.
Mohou být znakem genetické barvy dentinu, stárnutí, ale také špatné hygieny nebo vlivu potravin a návyků.
Citron, soda a podobné rady mohou zuby nenávratně poškodit. Pokud hledáte bezpečnou cestu, svěřte se do rukou profesionálů.
Nejčastější důvody jsou poměrně nevinné. Barva zubů je částečně genetická – některé děti mají přirozeně o něco tmavší odstín. Někdy se také na zoubcích hromadí povlak, který zuby zvenčí zabarví. Pokud dítě ještě nemá zavedený pravidelný hygienický režim, bývá povlak nejčastější příčinou.